Invasive Elektrophysiologie
Unter invasiver Elektrophysiologie versteht man die Diagnostik und Behandlung verschiedener Herzrhythmusstörungen mit nicht-medikamentösen Verfahren.
Hierzu gehören die
Elektrophysiologische Untersuchung
Die elektrische Untersuchung ist eine spezielle Herzkatheteruntersuchung zur Untersuchung des elektrischen Sytems des Herzens und der Abklärung von Herzryhtmusstörungen.
Dabei werden unter Röntgendurchleuchtung spezielle Elektrophysiologiekatheter zum Herzen vorgeschoben. Mit diesen Kathtern kann das Elektrogramm von verschiedenen Positionen im Herzen abgeleitet werden.
In der Regel können die Herzrhythmusstörungen ausgelöst und so besser analysiert werden. Mit einem speziellen Katheter kann das Gewebe, welches die Herzrhythmusstörungen verursacht, verödet und die Herzrhythmusstörung dauerhaft beseitigt werden (Katheterablation).
Mit Hilfe dreidimensionaler sog. elektro-anatomischer Mappingverfahren kann die zu untersuchende Herzhöhle dreidimensional dargestellt und die elektrische Aktivierung kartografiert und dargestellt werden (3D Mapping).
Katheterablation
Die Kathterablation ist ein modernes Verfahren zur Behandlung bestimmter Herzrhythmusstörungen.
Sie erfolgt im Rahmen einer elektrophysiologischen Untersuchung.
Nachdem der Ursprung einer schnellen Herzrhythmusstörung (Herzrasen) gefunden wurde, kann über einen speziellen Katheter das abnorme Gewebe, welches die Herzrhythmusstörungen verursacht, beseitigt werden. Dabei wird werden mit Hilfe eines Generators hochfrequente elektrische Wellen erzeugt (Radiofrequenzenergie), welche über die Katheterspitze auf das Herzmuskelgewebe geleitet werden.

Dies führt zu einer Erwärmung, wodurch das Gewebe verödet (abladiert) und die Herzrhythmusstörung dauerhaft beseitigt wird.
Bei der Katheterablation von Vorhofflimmern wird beispielsweise das elektrisch abnorme Gewebe in den Pulmonalvenen isoliert und somit ausgeschaltet (Abbildung oben).
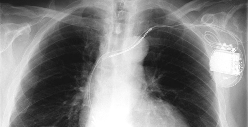
Rhythmusimplantate
Herzschrittmacher
Verschiedene Störungen des elektrischen Systems des Herzens (Erregungsbildungs- und –leitungssystems) können dazu führen, dass das Herz vorübergehend oder dauerhaft zu langsam schlägt.
Dies kann zu verschiedenen Beschwerden wie Schwindel, Leistungsintoleranz und sogar Bewusstseinverlust (Synkope) führen. Solche zu langsamen Herzschläge können mit einem Herzschrittmacher korrigiert werden.
Implantierbarer Defibrillator (ICD)
Ein implantierbarer Defibrillator (ICD) ist ein Gerät, welches zu schnelle Herzrhythmusstörungen automatisch erkennt und beendet. Dabei handelt es sich um sogenannte Kammertachykardien oder um Kammerflimmern. Diese Herzrhythmusstörungen treten meist als Folge einer fortgeschrittenen Herzmuskelerkrankung (nach grossem Herzinfarkt oder Kardiomyopathien) auf und können unbehandelt zum plötzlichen Herztod (Sekundenherztod) führen.
Kardiale Resynchronisationstherapie (CRT)
Die kardiale Resynchronisationstherapie (CRT) ist ein Behandlungverfahren für bestimmte Patienten mit einer schweren Herzinsuffizienz.
Aufgrund fortgeschrittener Veränderungen kommt es zu einem unvorteilhaften (asynchronen) Kontraktiosmuster der linken Herzkammer. Durch die gleichzeitige Stimulation von rechter und linker Herzkammer kann dies bei einigen Patienten korrigiert werden.
Im Rahmen der kardialen Resynchronisationstherapie wird entweder ein Herzschrittmacher oder ein implantierbarer Defibrillator eingesetzt.